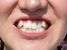
Overlapping teeth can be a frustrating issue, affecting both your smile's appearance and your oral health. Whether it’s caused by crowding, genetics, or habits like thumb sucking, overlapping teeth can make daily tasks like chewing and cleaning your teeth more challenging. Fortunately, there are several effective treatment options available that can help you say goodbye to overlapping teeth and achieve a healthier, straighter smile. In this article, we will explore the best treatments for Overlapping Teeth Treatment, helping you make an informed decision for your dental health.
Why Do Teeth Overlap?
Overlapping teeth are commonly caused by insufficient space in the mouth, leading to overcrowding. This can happen when the teeth are too large for the jaw or when teeth emerge out of order. Overlapping can also be a result of bad oral habits or genetics. Understanding the underlying cause of your teeth overlap is the first step in determining the most effective treatment option. Here are some of the most common reasons why teeth overlap:
- Genetics: Your inherited traits can determine the size of your teeth and the shape of your jaw, influencing tooth alignment.
- Crowding: Limited space in the mouth can cause the teeth to overlap, resulting in crooked smiles.
- Thumb Sucking: Persistent thumb sucking during childhood can affect the development of the teeth, leading to misalignment.
- Premature Tooth Loss: Losing teeth early, especially in childhood, can lead to misalignment and overlapping of adjacent teeth.
Treatment Options for Overlapping Teeth:
When it comes to treating overlapping teeth, there are several effective options to consider. The right treatment for you will depend on the severity of the overlap, your age, and your preferences. Here are some of the most common solutions for treating overlapping teeth:
Braces:
Braces are one of the most traditional and reliable treatments for overlapping teeth. Using metal brackets, wires, and rubber bands, braces gradually shift your teeth into their correct positions over time. They are highly effective for severe overlap cases and can address both alignment and bite issues.
- Advantages: Braces are extremely effective for correcting severe overlapping teeth and provide long-lasting results.
- Time Frame: Treatment with braces typically takes anywhere from 12 to 24 months, depending on the case.
- Considerations: Braces are more visible and can be uncomfortable, requiring regular checkups and adjustments.
Clear Aligners (Invisalign):
Clear aligners, like Invisalign, are a more discreet alternative to traditional braces. These custom-made plastic trays are designed to gradually shift your teeth into proper alignment. Since the aligners are clear, they are a popular choice among adults and teenagers who want a less noticeable treatment option.
- Advantages: Clear aligners are nearly invisible, removable, and comfortable, making them a more convenient choice for many people.
- Time Frame: The treatment time for clear aligners varies but typically lasts between 6 to 18 months, depending on the severity of the overlap.
- Considerations: To be effective, clear aligners must be worn for 20 to 22 hours a day, and they need to be switched out regularly.
Veneers:
Veneers are thin shells of porcelain or composite resin that are bonded to the front of your teeth to improve their appearance. While veneers don’t address the underlying issue of teeth alignment, they can effectively mask the appearance of overlapping teeth, providing an instant aesthetic solution.
- Advantages: Veneers offer a quick fix for minor cases of overlapping teeth and provide a natural, polished look.
- Time Frame: Treatment for veneers can usually be completed in two to three visits to the dentist.
- Considerations: Veneers are a cosmetic solution and don’t resolve the underlying alignment problem. They may also require some tooth enamel removal.
Retainers:
In some cases, a retainer can be used to help reposition teeth and maintain their alignment after orthodontic treatment. Retainers can also be effective for minor cases of overlapping teeth or as a post-treatment option following braces or aligners.
- Advantages: Retainers are easy to wear and help maintain the results achieved with braces or aligners.
- Considerations: They must be worn consistently, especially during the initial months after treatment.
Benefits of Treating Overlapping Teeth:
Correcting overlapping teeth can have a significant impact on both your oral health and overall appearance. Here are some key benefits of seeking treatment for overlapping teeth:
- Better Oral Hygiene: Straighter teeth are easier to clean, which can help prevent plaque buildup, cavities, and gum disease.
- Improved Functionality: Properly aligned teeth make chewing, speaking, and biting more efficient and comfortable.
- Increased Confidence: A straighter smile can boost your self-esteem and enhance your overall appearance, leading to improved confidence.
- Prevention of Future Dental Issues: Addressing overlapping teeth can help prevent more severe problems like tooth wear, jaw pain, or misaligned bites down the road.
Choosing the Right Treatment for You:
Selecting the right treatment for your Overlapping Teeth requires consultation with a dental professional, such as an orthodontist or dentist. They will assess the severity of your teeth overlap, your oral health, and your personal preferences to recommend the most appropriate treatment. Consider the following factors when making your decision:
- Severity of Overlap: More severe cases of overlapping teeth may require braces, while minor overlaps could be treated with veneers or clear aligners.
- Aesthetic Preferences: If you prefer a more discreet treatment, clear aligners or veneers may be the best choice.
- Treatment Duration: Some treatments, like braces, take longer, while others, like veneers, can be completed relatively quickly.
Final Thoughts:
Overlapping teeth can be more than just a cosmetic issue—they can also affect your oral health and quality of life. With the right treatment, you can say goodbye to overlapping teeth and enjoy a straighter, healthier smile. From braces and clear aligners to veneers and retainers, there are several effective options to consider. Consult with a dental professional to determine which treatment is best for your needs and start your journey toward a more confident smile today.

Comments