If you're considering getting a composite filling in Dubai, you might be wondering about the process involved. Composite fillings are a popular choice for dental restoration, especially for cavities in visible areas, thanks to their natural, tooth-like appearance. Understanding the steps of the treatment can help you feel more prepared and confident. Here’s a detailed guide to what you can expect during the procedure.
What Are Composite Fillings?:
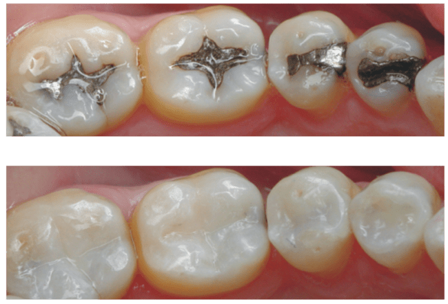
Composite fillings are a tooth-colored material used to restore teeth affected by cavities. Unlike traditional silver amalgam fillings, composite fillings blend seamlessly with your natural tooth color, making them ideal for restoring front and visible teeth.
Benefits of Composite Fillings:
- Aesthetic Appeal: They are virtually invisible and match the natural color of your teeth.
- Durability: Composite fillings are strong enough to handle the normal pressure from chewing.
- Conservative Treatment: Less tooth structure needs to be removed compared to amalgam fillings.
Step 1: Initial Consultation and Examination:
The first step in getting a composite filling is a consultation with your dentist. This allows them to assess the extent of the decay and determine if a composite filling is the best option for your tooth.
What Happens During the Consultation?:
- Detailed Examination: The dentist will inspect the affected tooth using X-rays to evaluate the cavity's size and depth.
- Discussion of Treatment Options: Your dentist will explain the available options, including composite fillings, and discuss the benefits and limitations based on your specific dental needs.
- Pain Management Plan: If you're anxious about the procedure, your dentist will discuss pain management options such as local anesthesia to ensure your comfort.
Step 2: Preparing the Tooth for the Filling:
Once you've decided on the composite filling, the dentist will begin the preparation process by numbing the area around the cavity.
What Happens During Tooth Preparation?:
- Local Anesthesia: A local anesthetic is administered to numb the area around the tooth so you won’t feel any pain during the procedure.
- Removal of Decay: The dentist uses a small drill or laser to remove the decayed portion of the tooth, leaving healthy enamel behind.
- Cleaning the Cavity: After removing the decay, the cavity is thoroughly cleaned to eliminate any bacteria or debris, ensuring a clean surface for the filling to bond to.
Step 3: Applying the Composite Filling:
Once the cavity is prepared, the dentist will begin applying the composite material. Composite fillings come in a variety of shades, and your dentist will choose the one that best matches the color of your natural teeth.
What Happens During Application?:
- Layer-by-Layer Application: The dentist applies the composite filling in small layers. Each layer is hardened using a special curing light that bonds the material to the tooth.
- Shaping the Filling: After the material is hardened, the dentist will shape the composite to match the natural contours of your tooth, ensuring it looks and feels natural.
- Adjusting for Fit: The dentist will check your bite to ensure that the filling doesn’t interfere with your normal chewing function. Adjustments will be made to ensure the filling fits perfectly.
Step 4: Curing and Hardening the Filling:
After the composite material is applied and shaped, it needs to be hardened to ensure durability.
How Does Curing Work?:
- Light Curing: The dentist uses a curing light to harden the composite material. This light helps the resin set quickly, allowing for a sturdy and lasting result.
- Immediate Hardness: Unlike some other materials, composite fillings harden almost immediately, meaning you can leave the dentist’s office with a fully functional and durable restoration.
Step 5: Final Adjustments and Polishing:
Once the filling has hardened, the dentist will make any final adjustments to ensure it’s smooth and comfortable.
What Happens During Final Adjustments?:
- Bite Check: The dentist will ask you to bite down gently to ensure that the filling doesn’t affect your bite. If necessary, they will smooth the filling to avoid any discomfort while chewing.
- Polishing: The filling is polished to give it a smooth finish and to match the natural sheen of your surrounding teeth. This step ensures that the filling blends seamlessly with the rest of your smile.
Step 6: Post-Procedure Care:
After the procedure, your dentist will provide you with instructions on how to care for your newly restored tooth.
What to Expect After the Procedure:
- Minor Sensitivity: It’s normal to experience some sensitivity to hot and cold temperatures for a few days after the procedure. This typically subsides as the tooth adjusts to the filling.
- Avoid Chewing on the Treated Side: For the first few hours after the filling is placed, you may be advised to avoid chewing on the treated side of your mouth to give the filling time to set.
- Good Oral Hygiene: It’s essential to maintain good oral hygiene by brushing and flossing regularly to prevent further decay around the filling.
How Long Do Composite Fillings Last?:
One of the most common questions patients have is about the longevity of composite fillings.
What Affects Their Lifespan?:
- Location of the Filling: Fillings placed on front teeth may last longer than those placed on back teeth due to less chewing pressure.
- Oral Habits: Habits such as teeth grinding or clenching can affect the lifespan of composite fillings.
- Regular Dental Checkups: Routine visits to your dentist help ensure that your filling is intact and address any issues early on.
In general, composite fillings can last between 5 to 10 years with proper care, making them a durable solution for treating cavities.
Conclusion:
The process of getting a composite filling in Dubai is relatively straightforward and involves several steps to ensure a smooth, comfortable experience. From consultation to aftercare, composite fillings offer a durable, aesthetic, and natural-looking solution for cavities. If you’re dealing with a cavity and want a treatment that blends seamlessly with your smile, composite fillings may be an excellent choice. Consult with your dentist to discuss your options and determine the best course of action for your dental health.

Comments